Imagine a world where patients everywhere can be treated with the highest-quality technology, where physicians at leading institutions, in rural clinics, urban hospitals and remote communities are empowered with tools to See All, and where better decisions can be made with clear, safe and accurate information for all.

Watch how the See All system generates a 1mm sliceable 3D image in seconds using a standard mobile 2D C-arm
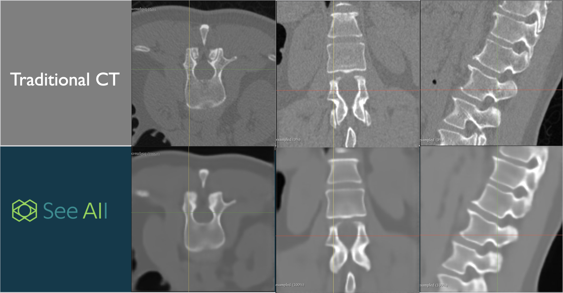
See how the See All System turns 2 C-arm fluoro shots into volumetric, sliceable 3D images in only a few seconds. This breakthrough enables powerful imaging with a simpler workflow, all controlled by an intuitive touchscreen interface.

%20(2000%20x%202000%20px)%20copy.png)
See All AI is pioneering a breakthrough in medical imaging by harnessing AI and deep learning to elevate the possibilities in diagnostic and intraoperative 3D volumetric imaging.
The human eye's natural sensitivity to green light makes it the most vivid and detailed color we perceive. Computer vision technology can be designed to emulate this sensitivity to enhance 3D vision.

See All AI's technologies are in the development phase and have not yet received FDA clearance.
These technologies are not intended for clinical use until appropriate regulatory approvals are obtained.